当79岁的生命同时承载着冠状动脉多支病变、焦虑症、甲状腺功能减退等多重健康挑战,每一次心绞痛的发作,都是心脏发出的紧急警报。面对高龄,高危风险,选择怎样的治疗方案最佳,成为摆在医务人员目前的一道难题。
近日,我院心胸外科团队凭借精湛医术与默契协作,成功为这位高危患者完成冠状动脉旁路移植术,闯过术后并发症难关,让患者重获“心”生。

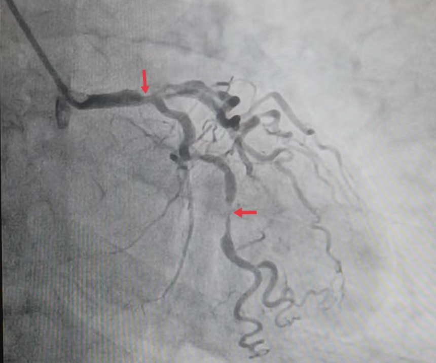
▲冠状动脉造影提示:左主干末端-左前降支近段80%节段性狭窄,左回旋支中段80%节段性狭窄
术前的患者,正被层层健康难题困住:冠脉造影显示多支血管病变且条件极差,心脏供血如同“堵塞的管道”,随时可能中断;间断发作的心绞痛,让他稍一活动就胸口发闷、冷汗直冒,连日常起身都需小心翼翼;叠加的焦虑症与甲状腺功能减退,更让身体调节能力雪上加霜,情绪时常陷入低落,对治疗充满顾虑。

面对这台“高风险、高难度”的手术,科室团队没有退缩。术前多次组织病例讨论,针对患者高龄、基础病多的特点,逐一制定应对方案:调整药物稳定甲状腺功能,联合心理疏导缓解焦虑情绪,精准调控心功能指标,只为给手术创造最佳条件。

手术台上,团队紧盯每一个操作细节,在复杂的血管条件下精准完成旁路移植,为心脏重新搭建起畅通的“供血通路”。当血管吻合成功的那一刻,意味着这场“心”的救援,迈出了关键一步。
术后的恢复之路同样充满挑战,患者术后出现反复病情波动,病情牵动着医护团队的心。丁军主任第一时间牵头会诊,每天多次查看患者,根据病情变化动态调整治疗方案;护士团队24小时轮班值守,密切监测生命体征,细致做好伤口护理、体位护理,甚至化身“心理辅导员”,用耐心的陪伴缓解患者术后焦虑。
从术后初期需卧床依赖监护仪,到逐渐脱离设备自主呼吸;从只能少量进食,到能正常饮食;从需要医护协助翻身,到如今可自行下床缓慢行走——每一点进步,都凝聚着团队的汗水与坚守。

如今,患者脸上重新有了笑容,每当医护人员查房,他总会笑着说:“多亏了你们,我这颗‘老心脏’又有力气了!”
这场与风险的博弈,不仅是一次医术的考验,更是一次责任与温情的践行。我院心胸外科团队将始终以患者为中心,用专业与担当,为更多心血管疾病患者撑起“心”的保护伞,守护每一段珍贵的生命旅程。
版权所有:晋城市人民医院
地址:晋城市城区白水东街1666号
ICP证:晋ICP备12005875号-1 晋卫网审[2014]第0007号
技术支持:晋城市云祥大数据科技运营有限公司
扫一扫关注我们