当肿瘤遇上高龄、基础疾病等复杂情况,手术风险过高怎么办?近日,晋城市人民医院肿瘤放射治疗团队凭借先进技术与精准诊疗,成功为一位77岁高危肺癌患者实施晋城地区首例TOMO C引导下立体定向放射治疗(SBRT),不仅填补了我市该技术应用的空白,更让肿瘤精准治疗迈入 “高精准、短疗程、低损伤” 的新阶段,为更多特殊病情的肿瘤患者带来新希望。
高龄 + 复杂病史,
精准放疗成为最优解
患者司某,男性,77岁,因体检发现右肺直径约9mm结节就诊,经病理检查确诊为鳞状细胞癌(分期T1aN0M0)。看似早期的肿瘤,却因患者的基础病情变得棘手——司大爷有10余年冠心病史,曾多次接受多支冠脉支架植入手术,心肺功能相对较弱,传统手术治疗风险极高。
“患者年龄大、基础病复杂,手术创伤可能超出身体耐受范围,但肿瘤又需要即时干预。” 我院肿瘤放射治疗室王纪青、崔晓飞、武晓旭医师团队,联合姬文彬物理师团队,针对患者病情进行多轮讨论评估。在充分告知患者及家属各类治疗方案的利弊后,结合患者身体状况,最终确定采用TOMO C引导下的立体定向放射治疗(SBRT)方案,以 “微创、精准” 的方式直击肿瘤。
技术突破!
首例TOMO-SBRT治疗顺利落地
2025年8月14日,患者正式启动治疗。在TOMO C放疗设备的支持下,治疗团队通过三维影像精准定位肿瘤靶区,结合呼吸门控与实时图像引导技术,有效规避呼吸运动带来的位移误差,将50Gy/10Gy/5f的治疗剂量精准聚焦于肿瘤组织(生物等效剂量BED达100Gy)。
整个治疗过程无创、无痛,患者全程耐受良好,无明显不适症状。治疗结束后1个月、2个月的随访检查显示,患者肺部肿瘤较治疗前明显缩小,各项身体指标稳定,治疗效果完全达到预期,成功实现了 “精准杀伤肿瘤、最大程度保护正常组织” 的治疗目标。

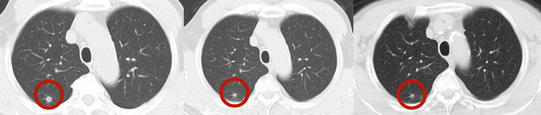
(左图为放疗前病灶影像,中图为放疗后1月病灶影像,右图为放疗后2月病灶影像,可见肿瘤逐步缩小)
什么是SBRT?
哪些患者适合?
SBRT(分次体部立体定向放射治疗)是现代精准放疗的核心技术之一,其通过CT、MRI、PET-CT等先进影像学技术实现肿瘤毫米级精准定位,再结合呼吸门控技术(抵消呼吸导致的肿瘤移动)和图像引导技术,让放射线从多角度聚焦肿瘤病灶——就像用放大镜聚焦阳光点燃纸片,高剂量放射线集中作用于肿瘤组织,同时最大程度减少对周围正常器官的损伤。
2. 核心优势:短疗程、低损伤、高精度
3. 适用人群:这些患者可优先考虑
SBRT 并非万能治疗,但对以下几类患者尤为适用:
技术升级!
守护晋城百姓健康
此次晋城地区首例TOMO-SBRT治疗的成功开展,是我院放射治疗领域的重要突破,标志着我院在肿瘤精准治疗方面的技术实力得到进一步提升。未来,我院肿瘤放射治疗团队将持续深耕前沿技术,不断提升诊疗能力,让更多晋城及周边地区的肿瘤患者无需远行,就能在家门口享受到高质量、个性化的精准放疗服务,用科技为生命健康保驾护航!
——专家简介——

版权所有:晋城市人民医院
地址:晋城市城区白水东街1666号
ICP证:晋ICP备12005875号-1 晋卫网审[2014]第0007号
技术支持:晋城市云祥大数据科技运营有限公司
扫一扫关注我们