6月5日,晋城市人民医院肿瘤科实现技术突破,医师崔晓飞、武晓旭、成超携手姬文彬物理师团队,在护士张琪琪等工作人员的密切配合下,成功完成晋城地区首例三维后装插植放疗病例。这一成果填补了晋城地区在插植放疗领域的空白,标志着该院在肿瘤三维后装插植放疗技术上迈出关键一步,彰显了医院在医疗技术创新方面的积极探索与担当,也体现了以患者为中心提升医疗服务水平的坚定决心。
三维后装插植放疗技术堪称肿瘤治疗领域的 “精准手术刀”。它借助先进的 CT 或 MRI 影像引导,医生能够将施源器精准植入肿瘤内部,实现 “零距离” 精准打击。与传统外照射相比,该技术可使肿瘤局部剂量提升数倍,显著提高肿瘤控制率;同时,插植针固定于肿瘤内部,有效避免了因患者呼吸运动或体位变化导致的剂量偏差,极大保障了治疗的精准性与有效性。
患者田某确诊为宫颈癌晚期,已失去手术机会,在完成外照射治疗后,亟需后装插植补量照射。经此技术治疗后,田某肿瘤的局部控制率大幅提高,生存质量显著改善,生存期也得到有效延长,治疗效果令人满意。

▲崔晓飞主管大夫进行病例讨论

▲确定病人插植病灶

▲崔晓飞大夫对病灶进行后装插植操作(右图为插植针展示)

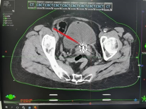
▲插植完成后行CT扫描,显示插植针位置与肿瘤完全吻合

▲医生完成靶区勾画后物理师进行计划设计

▲计划优化完成后的剂量分布图(100%的剂量包围了整个肿瘤,对正常组织进行了有效保护,大大减少了正常组织的副反应)

▲技师实施治疗
该技术具有显著优势:
插植放疗的常见适应症:
版权所有:晋城市人民医院
地址:晋城市城区白水东街1666号
ICP证:晋ICP备12005875号-1 晋卫网审[2014]第0007号
技术支持:晋城市云祥大数据科技运营有限公司
扫一扫关注我们