近日,晋城市人民医院妇产医学中心妇科团队凭借精湛医术,成功为原发不孕患者李女士实施高难度微创手术,助其摆脱生育困扰,重燃孕育希望。

婚后,李女士与丈夫积极备孕一年多,却始终未能如愿。为圆母亲梦,她来到晋城市人民医院妇产医学中心求助。经李芳主任医师、梁玉芳副主任医师详细评估,李女士被确诊为完全性子宫纵膈并合并不孕。针对这一情况,妇科团队为她定制了宫腹腔镜联合手术方案。

术中,宫腔镜冷刀技术精准切除子宫纵隔,将异常宫腔 “二居室” 修复为正常形态;腹腔镜手术则有效分离输卵管、卵巢周围粘连,全面修复生殖器官功能。手术全程微创,创伤小、恢复快,充分展现了团队的专业实力。
“感谢医生们为我打开生育希望之门!” 术后李女士激动地表达感谢。晋城市人民医院妇科始终秉持 “以患者为中心” 理念,凭借先进设备、深厚解剖知识储备和精细化操作能力,在保护患者子宫内膜与宫颈功能的同时降低并发症风险。未来,医院将继续精进技术、优化服务,为更多女性的生育梦想全力护航。
孕育生命本是件幸福的事,可有些女性却因 “纵隔子宫” 而饱受困扰。今天就来和大家聊聊关于纵隔子宫的那些知识。

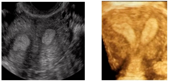
子宫畸形:纵膈子宫

一、纵隔子宫是怎么形成的?
正常女性的子宫在胚胎发育时,要经历两侧副中肾管发育、融合、腔化、纵隔吸收等一系列复杂过程,就像建造一座房子,需要按步骤完成各个环节。如果在纵隔吸收这个环节,受到一些内外因素的干扰,发育进程受阻,就会出现不同程度的子宫纵隔,原本完整的 “房子” 里就多了一堵不该有的 “墙”。
二、纵隔子宫有哪些类型?
根据《女性生殖器官畸形诊治的中国专家共识》,纵隔子宫主要分为两类:

三、纵隔子宫会带来什么问题?
纵隔子宫在育龄期女性中的发病率约为 0.2 - 2.3%。它不仅可能成为育龄妇女不孕的 “元凶” 之一,还会在怀孕后埋下诸多隐患,是自然流产、早产、胎位异常、胎儿畸形或胎盘早剥等问题的高危因素,严重影响着育龄女性的身心健康。
四、哪些患者需要手术治疗?
虽然切除子宫纵隔能显著降低流产率和早产率,提升不孕患者的生育能力,但并不是所有纵隔子宫患者都需要手术。目前认为,符合以下手术指征的患者才需要进行规范治疗:
如果您对自身健康存在疑虑,或是备孕过程中遇到困难,建议及时到正规医院检查咨询。了解这些知识,才能更好地守护自己的生殖健康!
版权所有:晋城市人民医院
地址:晋城市城区白水东街1666号
ICP证:晋ICP备12005875号-1 晋卫网审[2014]第0007号
技术支持:晋城市云祥大数据科技运营有限公司
扫一扫关注我们