在晋城市人民医院妇产医学中心,每天都在上演着医术与温情交织的故事。42岁的刘女士近日带着两封手写感谢信出院,她的求医经历正是我们"技术+温度"服务理念的真实写照。
复杂病情遇上专业团队

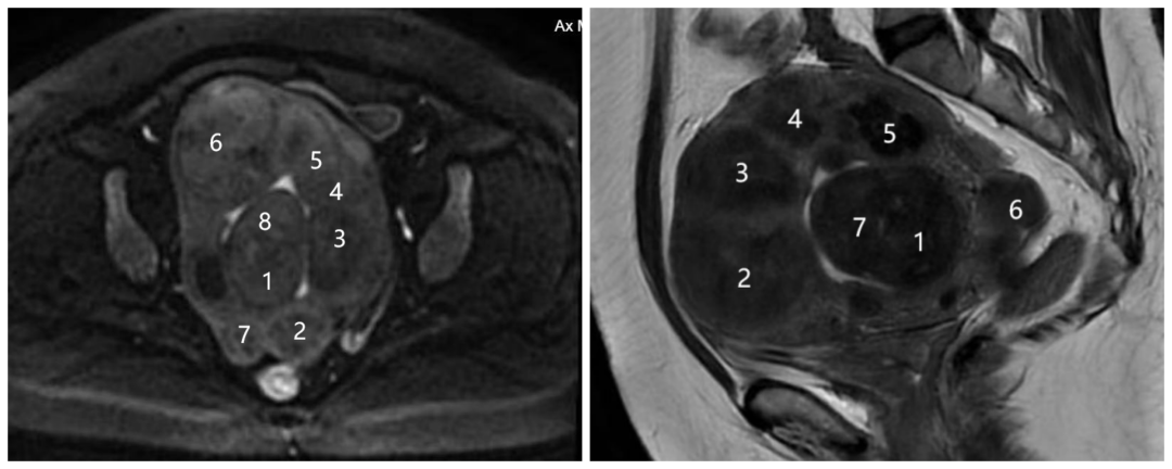
▲术前核磁图像,数字标注处为肌瘤
有温度的医疗不止于手术台
两封手写信背后的医患情
出院当天,刘女士将饱含真情的感谢信交到医护人员手中:"本以为要长期带瘤生活,是你们给了我重获健康的勇气。技术高超的医生很多,但能同时关注患者心理的团队更珍贵。"

这样的故事在我院妇产医学中心已成常态。我们始终坚信:一台成功的手术=50%精湛技术+50%人文关怀。通过多学科协作机制和个性化护理方案,年均为600余例妇科疑难患者提供优质诊疗服务。
版权所有:晋城市人民医院
地址:晋城市城区白水东街1666号
ICP证:晋ICP备12005875号-1 晋卫网审[2014]第0007号
技术支持:晋城市云祥大数据科技运营有限公司
扫一扫关注我们