【 关雨欣 】
在我们的口腔里,可能潜藏着一位不为人知的 “神秘嘉宾”—— 埋伏牙。很多人甚至不知道它的存在,但它却可能在不知不觉中影响口腔健康。今天,就来带大家好好认识一下这位 “神秘嘉宾”。
01
什么是埋伏牙?
简单来说,埋伏牙就是牙齿在萌出的过程中,因为各种原因没能顺利长到口腔里,而是 “藏” 在了颌骨里面。这就好比一颗种子被种下去后,却始终没有破土而出,默默待在土壤里一样。


02
为什么会出现埋伏牙?
导致埋伏牙出现的原因有很多,常见的主要有以下几种:
03
哪些埋伏牙需要拔除?
不过,大家也不用过于担心,并不是所有的埋伏牙都需要拔掉。但如果出现以下几种情况,就需要考虑拔除了:



值得庆幸的是,随着多学科联合治疗的开展以及正畸技术的不断发展与完善,更多的上颌前牙埋伏阻生齿得以矫治和保留。通过正畸 - 外科联合牵引助萌复杂埋伏阻生牙的方法,往往能获得良好的效果,帮助患儿健康自信地成长。

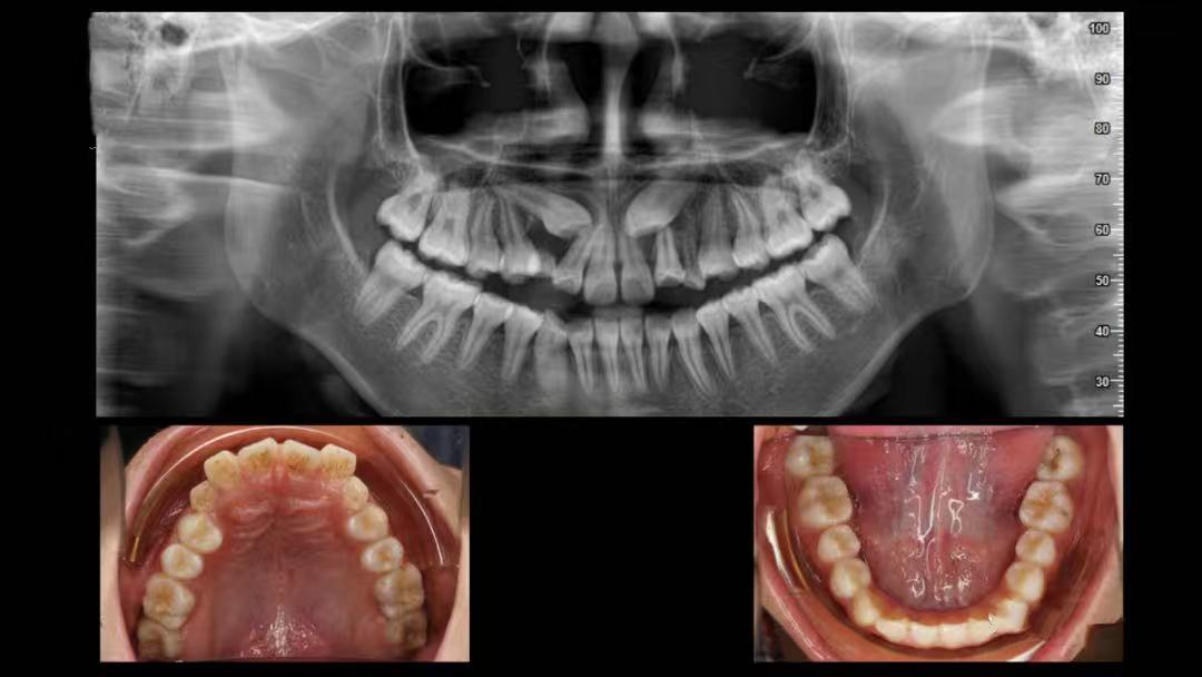
如果大家怀疑自己有埋伏牙,一定要及时去正规的口腔医院进行检查。通常情况下,拍个 X 光片就能清楚地看到牙齿的情况了。
希望这篇科普能让大家对埋伏牙有更深入的了解,也能更加关注自己的口腔健康。
版权所有:晋城市人民医院
地址:晋城市城区白水东街1666号
ICP证:晋ICP备12005875号-1 晋卫网审[2014]第0007号
技术支持:晋城市云祥大数据科技运营有限公司
扫一扫关注我们